
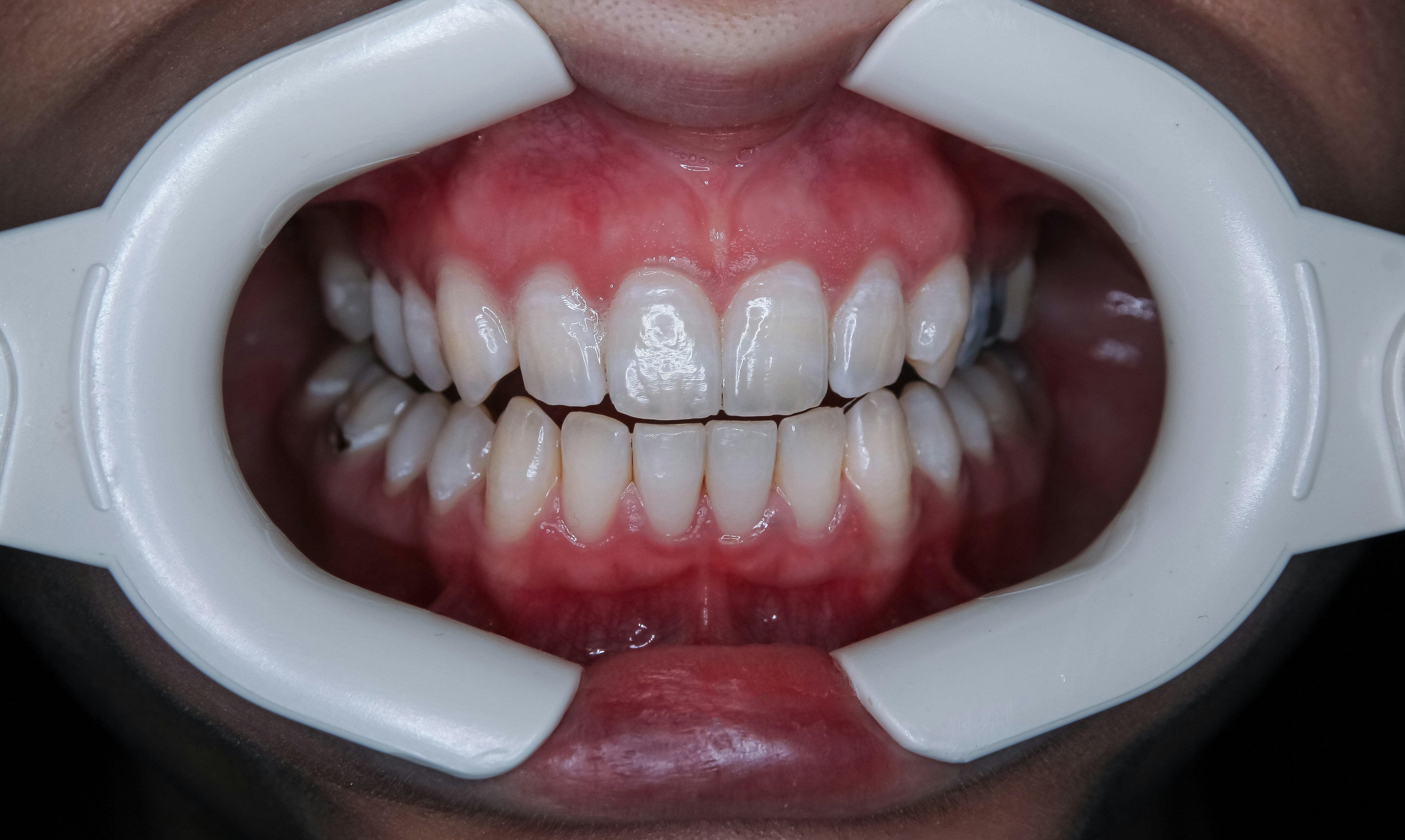
Was Sie über Plaque wissen sollten
Die Plaque, die umgangssprachlich auch Zahnbelag genannt wird, ist ein farbloser bis gelblicher Biofilm, der sich fortlaufend aus Speichelbestandteilen, Essensresten und Bakterien bildet. Schon kur...

Was Sie über Mikroplastik in Zahnpasta wissen sollten
Als Mikroplastik werden sehr kleine Kunststoffteilchen bezeichnet. Manchmal sind diese nur einen Nanometer, also ein Tausendstel Millimeter, groß. Mikro- beziehungsweise Nanoplastik kann zum einen ...

Zahnpflege: So kommen Sie zahngesund durch den Sommer
Sommerzeit ist Genusszeit: An einem lauen Sommerabend draußen sitzen und einen leckeren Cocktail oder einen Smoothie schlürfen. Am Badesee ein Eis genießen. Sonnenwarme Beeren vom Strauch direkt in...

Warum DIY Mundspülungen eine gute Wahl sind
Die Verwendung einer Mundspülung kann eine ideale Ergänzung zum täglichen Zähneputzen sein, weil eine Mundspülung dort hingelangt, wo Zahnbürste und Zahnseide manchmal scheitern. An schwer erreichb...

Superfood liegt im Trend. Chiasamen gelten als Sattmacher, Gojibeeren werden als Anti-Aging-Wunder angepriesen, Acai-Beeren sollen beim Abnehmen helfen. Der Begriff Superfood ist nicht geschützt. E...

Wussten Sie, dass viele Profi-Sportler an Zahnerkrankungen leiden, obwohl sie topfit sind? Die überdurchschnittliche Häufigkeit, Zahnprobleme zu bekommen, liegt allerdings nicht an einer schlechten...
